- TOP
- ホワイトニングプランと費用
Whitening天然歯を白く ~ホワイトニングプランと費用~

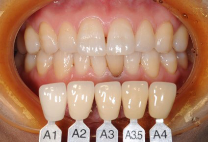
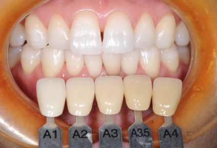
歯は何もせず過ごしていると、だんだんと黄ばんでいきます。それは毎日口にする飲食物の影響や、生活習慣、加齢が要因となって、色素沈着するからです。白い歯は口元を明るく見せ、第一印象を左右します。健康な天然歯は、ホワイトニングで白い歯に導くことができます。効果には個人差がありますので、お気軽に名古屋市(黄金駅)の歯医者名古屋ルミナス歯科・矯正歯科」にご相談ください。こちらではホワイトニングプランの種類と費用をご案内します。
当院のホワイトニングプランについて
プランは大きく分けて2種類で、それは「オフィスホワイトニング」と「ホームホワイトニング」です。「オフィスホワイトニング」は歯科医院で行い、「ホームホワイトニング」はご自宅でお好きな時間にご自身で行っていただきます。それぞれの方法にメリット・デメリットがあり、両方のメリットを得られる2種併用のデュアルホワイトニングにも対応します。
- PICKUP
矯正治療を受けられる方はホワイトニング1回分を
無料でお試しいただけます -

当院で矯正治療を受けるとホームホワイトニングをお試しいただけます。白くなるまでの1回分です。マウスピースを使った矯正治療システムの方は、治療期間中に、そしてほかの矯正治療システムの方は、保定期間中にお試しいただきます。きれいな歯並びとともに白い歯も手に入れてください。
当院ではTION(ティオン)の薬剤を使用しています

TIONのホワイトニングは歯へのダメージが少なく、痛みが少ない薬剤を使用しています。また、ジェルも白色で見た目で確認しやすく、効果も優れております。また、安全の日本産でもありますので、ご利用される方にとっても安心いただける薬剤となっています。
オフィスホワイトニング

歯科医院で施術を受けるホワイトニングです。歯ぐきを保護したあと、高濃度の薬剤を歯の表面に塗布してから特殊な光を照射してホワイトニング効果を促進させます。歯のクリーニングからホワイトニングの施術まですべてプロフェッショナルが行うので、わずらわしさがありません。即効性があり、1回の施術でほとんどの方が白さを実感なさいますが、ご希望により数回の通院と施術で、さらに理想の白さに近づけていきます。ただ、ホームホワイトニングにくらべて色が戻りやすいのがデメリットです。
オフィスホワイトニングの費用
| レントゲン撮影・歯のクリーニング(保険診療) | 約3,500円(税込3,850円) |
|---|---|
| オフィスホワイトニング(12歯以上の場合) | 12,000円(税込13,200円) |
オフィスホワイトニングの施術の流れ
※表は左右にスクロールして確認することができます。
| STEP 1準備 | STEP 2歯ぐきの保護 | STEP 3薬剤塗布 | STEP 4光照射 | STEP 5洗浄 |
|---|---|---|---|---|
|
|
|
|
|
|
| 保険診療のレントゲン撮影や歯のクリーニングを行います | 歯ぐきを保護するための薬剤を歯と歯ぐきのさかいに塗布します | 歯の表面に比較的高濃度のホワイトニング剤を塗ります。 | 特殊な光を照射してホワイトニング効果を促進させます | 薬剤を洗い流して終了です。 |
ホームホワイトニング

歯科医院でお口に合わせてつくったマウスピースに薬剤を注入して、一定時間、歯に装着する方法です。ご都合のよいときにご自宅で施術できるので「ホームホワイトニング」と呼ばれています。即効性はありませんが、毎日続けると、2週間ほどでほとんどの方が白さを実感されます。歯のクリーニングや施術、そして薬剤の管理やマウスピースの洗浄などをすべてご自身で行うので手間はかかりますが、じっくり白くしていくので白さが長続きするのがメリットです。
- demeritホワイトニングのリスク、副作用
- ・ホワイトニングの効果には個人差があり、白さの程度を保証することはできません。
・歯の色が均一にならず、部分的に色ムラが生じる場合があります。
・効果は永久的ではなく、約6ヵ月以降に後戻りが生じることがあります。白さを維持するためには、追加のホワイトニングや定期的なメンテナンスが必要な場合があります。
・むし歯や歯周病、歯石・歯垢の沈着、着色の状態によってはすぐにホワイトニングを行えないことがあります。
・妊娠中や授乳中の方については安全性が確立されていません。
・無カタラーゼ血症の方にはホワイトニングは適応できません。
・処置中や処置後に一時的な知覚過敏が生じることがあります。重度の知覚過敏のある方はホワイトニングに向かない場合があります。
・人工歯や金属による変色歯は、ホワイトニングで白くすることはできません。
・薬物性の変色歯や神経を除去した歯は、ホワイトニング効果が得にくい場合があります。
・ホワイトニング期間中および処置後しばらくは、色の濃い飲食により効果が薄れることがあります。
・ホームホワイトニング用マウスピースの使用により、まれに歯ぐきに一時的な炎症が起こる場合があります。
・ホワイトニングは健康保険の適用外であり、自費診療となります。
ホームホワイトニングの費用
| 両顎(マウスピース+初期の薬剤) | 28,000円(税込30,800円) |
|---|---|
| 片顎(マウスピース+初期の薬剤) | 18,000円(税込19,800円) |
| 追加薬剤 | 4,500円(税込4,950円) |
ホームホワイトニングの施術の流れ
※表は左右にスクロールして確認することができます。
| STEP 1マウスピース作製 | STEP 2ブラッシング | STEP 3薬剤注入 | STEP 4装着 | STEP 5取り外し |
|---|---|---|---|---|
|
|
|
|
|
|
| 歯科医院でマウスピースを作製します。 | 施術前に歯の汚れを落としましょう。 | 薬剤をマウスピースに注入してください。 | 一定時間、装着し薬剤を浸透させてください。 | マウスピースを外し、薬剤を洗い流しましょう。 |






